Dr. Andrea Wolf is the Director of the New York Mesothelioma Program at Mount Sinai in New York City. She focuses on multidisciplinary treatment, clinical research, community outreach and education.
Biphasic mesothelioma is a cancer caused by exposure to asbestos. Malignant biphasic tumors have two types of cells: epithelioid and sarcomatoid. Symptoms of biphasic mesothelioma can include a dry cough, shortness of breath and fluid in the lungs. Biphasic mesothelioma is sometimes referred to as mixed mesothelioma.
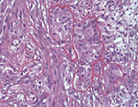
Biphasic mesothelioma is a subtype of mesothelioma named for the specific mix of cells found in tumors. Biphasic means there’s a mix of both types of mesothelioma cells: epithelial and sarcomatoid cells. Pathologists can see these cells when they look at tissue samples under a microscope during a biopsy.
The presence of both cell types makes biphasic mesothelioma more complex than the other subtypes. The amount of epithelial versus sarcomatoid cells you have can affect your prognosis. Having more epithelioid than sarcomatoid cells usually leads to better outcomes.
Biphasic Mesothelioma Characteristics
Learn about your diagnosis, top doctors and how to pay for treatment in our free mesothelioma guide.
Get Your GuideThe biphasic subtype accounts for approximately 20% to 35% of all mesothelioma cases. Because of its mix of both sarcomatoid and epithelioid cells, biphasic mesothelioma is known for varying degrees of tumor aggression and treatment response. A personalized treatment plan is needed to best manage both cell types.
Exposure to asbestos is the only known cause of biphasic mesothelioma. As with all mesothelioma types, inhaled asbestos fibers can become stuck in the lining of the lungs or abdomen, causing irritation that can lead to cancer.
Symptoms of biphasic mesothelioma include dry cough, shortness of breath and fatigue. These symptoms vary depending on where tumors have developed in the body.
Common Symptoms of Biphasic Mesothelioma
Research also indicates people with more sarcomatoid cells may experience more severe and frequent symptoms. The cancer progresses faster and is more likely to recur with this subtype.
Early symptoms for biphasic mesothelioma are often vague and resemble less severe conditions, which can delay diagnosis. This delay is why it’s crucial to recognize mesothelioma symptoms early for better treatment outcomes.
Learn about your diagnosis, top doctors and how to pay for treatment in our updated 2025 guide.
Get Your Free GuideAccurately diagnosing biphasic mesothelioma requires a combination of imaging tests, biopsies and pathology evaluations. Because its symptoms overlap with those of other conditions, misdiagnosis can occur without a thorough assessment.
Biphasic Mesothelioma Diagnostic Steps
Dr. Andrea Wolf, director of the New York Mesothelioma Program at Mt. Sinai, tells us, “If more than 90% of one cell type is present, it’s termed ‘pure.’ For instance, having more than 90% epithelioid cells indicates epithelial type. If both types are represented, it’s biphasic or mixed.”
A case study in Cureus discussed a 34-year-old male who was initially misdiagnosed with peritoneal tuberculosis. After multiple CT scans and specialist pathology studies, he received an accurate diagnosis of biphasic peritoneal mesothelioma 5 weeks after his initial symptoms.
Treatment for biphasic mesothelioma often includes chemotherapy or surgery. A combination of different therapies is often recommended.
Several factors that can affect the best treatment plan for you include the proportion of cell types present, your overall health and the stage of the disease. These factors can indicate how well you might respond to each treatment.
Biphasic Treatment Options
Treating biphasic mesothelioma is difficult. However, new medical research is helping improve results. Anna Nowak, Ph.D., a premiere asbestos researcher, tells us Opdivo and Yervoy “can double survival” for people with sarcomatoid and biphasic mesothelioma.
A personalized treatment plan that considers the specific details of your health can lead to better care. Ask your mesothelioma doctor about your choices, including clinical trials.
The prognosis for biphasic mesothelioma is generally poor, but every individual may respond to treatment differently. Many factors can affect someone’s outcomes including overall health and the stage of the disease at diagnosis.
The amount of each cell type in biphasic or mixed mesothelioma also makes a difference. Sarcomatoid cells can make this subtype more difficult to treat. Overall, people live an average of 10 months after diagnosis, but those with mostly epithelioid cells tend to survive longer.
| Cell Type Ratio | 1-Year Survival Rate | 3-Year Survival Rate | 5-Year Survival Rate |
|---|---|---|---|
| Mostly Epithelioid | 60% | 25% | 10% |
| Mixed | 45% | 15% | 5% |
| Mostly Sarcomatoid | 30% | 5% | <1% |
Asbestos exposure is the leading cause of biphasic mesothelioma. When asbestos fibers are inhaled or ingested, they become lodged in organ linings. This can lead to chronic inflammation and cancerous mutations over time.
Yes, biphasic mesothelioma is frequently misdiagnosed as lung cancer or other mesothelioma subtypes. A biopsy and pathology review are essential for accurate diagnosis.
Early signs include shortness of breath, chest or abdominal pain, persistent cough, and unexplained weight loss. Symptoms may be mild initially but worsen as the disease progresses.
Biphasic mesothelioma can take 20-60 years to develop after asbestos exposure. This long latency period makes early detection difficult, emphasizing the importance of regular health screenings for at-risk individuals.
Stay up-to-date on treatment, research, clinical trials, doctors and survivors
The information on this website is proprietary and protected. It is not a substitute for professional medical advice, diagnosis or treatment. Any unauthorized or illegal use, copying or dissemination will be prosecuted. Please read our privacy policy and terms of service for more information about our website.
This website and its content may be deemed attorney advertising. Prior results do not predict a similar outcome.
The Mesothelioma Center’s claim as the most trusted resource is based on our more than 150 5-star Google and BBB reviews. Our organization also helps more than half of all mesothelioma patients annually diagnosed.
Your web browser is no longer supported by Microsoft. Update your browser for more security, speed and compatibility.
If you are looking for mesothelioma support, please contact our Patient Advocates at (855) 404-4592
The Mesothelioma Center at Asbestos.com has provided patients and their loved ones the most updated and reliable information on mesothelioma and asbestos exposure since 2006.
Our team of Patient Advocates includes a medical doctor, a registered nurse, health services administrators, veterans, VA-accredited Claims Agents, an oncology patient navigator and hospice care expert. Their combined expertise means we help any mesothelioma patient or loved one through every step of their cancer journey.
More than 30 contributors, including mesothelioma doctors, survivors, health care professionals and other experts, have peer-reviewed our website and written unique research-driven articles to ensure you get the highest-quality medical and health information.
My family has only the highest compliment for the assistance and support that we received from The Mesothelioma Center. This is a staff of compassionate and knowledgeable individuals who respect what your family is experiencing and who go the extra mile to make an unfortunate diagnosis less stressful. Information and assistance were provided by The Mesothelioma Center at no cost to our family.LashawnMesothelioma patient’s daughter
Selby, K. (2025, July 31). Biphasic Mesothelioma. Asbestos.com. Retrieved December 18, 2025, from https://www.asbestos.com/mesothelioma/malignant/biphasic/
Selby, Karen. "Biphasic Mesothelioma." Asbestos.com, 31 Jul 2025, https://www.asbestos.com/mesothelioma/malignant/biphasic/.
Selby, Karen. "Biphasic Mesothelioma." Asbestos.com. Last modified July 31, 2025. https://www.asbestos.com/mesothelioma/malignant/biphasic/.
Dr. Andrea Wolf is the Director of the New York Mesothelioma Program at Mount Sinai in New York City. She focuses on multidisciplinary treatment, clinical research, community outreach and education.
Our fact-checking process begins with a thorough review of all sources to ensure they are high quality. Then we cross-check the facts with original medical or scientific reports published by those sources, or we validate the facts with reputable news organizations, medical and scientific experts and other health experts. Each page includes all sources for full transparency.
Please read our editorial guidelines to learn more about our content creation and review process.