Mesothelial cells line the body's internal organs. They protect organs and help balance fluids. Pathologists examine these cells to diagnose diseases like mesothelioma. They can be normal, reactive or malignant.
Mesothelial cells are special cells that line the outside of your lungs, heart and abdominal organs. This is the type of cell where mesothelioma cancer starts. Mesothelial cells form a protective layer and prevent friction between organs. They’re involved in tissue repair and inflammation response.
Key Facts About Mesothelial Cells
Mesothelial cells form the lining of the lungs, heart and abdomen.
These cells make a fluid that reduces friction between organs.
Asbestos exposure can damage mesothelial cells.
Mesothelioma is a cancer that develops in the mesothelial cells.
Malignant mesothelioma cells have 3 categories: epithelioid, sarcomatoid and biphasic.
Learn about your diagnosis, top doctors and how to pay for treatment in our free mesothelioma guide.
These cells also produce a slippery fluid that acts like a lubricant. It allows organs to slide against each other as you breathe or move.
When these cells become cancerous, they produce too much fluid. This excess fluid can compress the lungs and make it hard to breathe. Learning about these cells helps you understand the disease.
Types of Mesothelial Cell Changes
Mesothelial cells can undergo reactive, atypical or malignant changes. These changes can range from normal reactions to irritation to cancerous transformations.
Understanding these changes is important for diagnosing mesothelioma. Asbestos exposure is a major cause of serious mesothelial cell changes.
Types of Mesothelial Cell Changes
Floridly Reactive, meaning a significant reactive response
Malignant
Reactive
Some changes, like reactive or floridly reactive changes, are often simply the body’s response to irritation. Malignant changes mean the cells are cancerous, as seen in malignant mesothelioma. It’s crucial to identify the different types of changes to properly diagnose and treat related diseases.
Floridly Reactive
Floridly reactive changes aren’t cancer and are different from mesothelioma. These pronounced changes often happen because the cells are reacting to something that’s bothering them.
They might be larger than normal mesothelial cells or have some other unusual features. While they can look abnormal under a microscope, floridly reactive cells are usually a sign your body is trying to heal or respond to a problem.
Malignant
Malignant mesothelial cell changes mean the cells have become cancerous. These cells grow uncontrollably and can spread to other parts of the body. This is what happens with mesothelioma.
The main cause of malignant mesothelial cell changes is asbestos exposure. It’s very different from a normal reaction to irritation.
Reactive
Reactive mesothelial cell changes might look a little different than usual, but they’re not necessarily cancerous. For mesothelioma patients, reactive changes can sometimes be confusing. They might look like cancerous changes.
It’s important for doctors to carefully examine the cells to tell the difference and make the correct diagnosis. These changes could mean the cells are responding to some kind of stimulus. This could be inflammation, injury or irritation. Many things can cause reactive changes. Infections, fluid buildup and surgery can irritate the mesothelial cells.
Find a Top Mesothelioma Cancer Center
We coordinate your care with top cancer centers and guide you through every step.
Mesothelial cells are naturally found in pleural fluid, which is a thin layer of liquid surrounding your lungs. These cells play an important role in keeping the lungs healthy. Cancers like pleural mesothelioma can develop in these cells, affecting your body’s fluid levels.
Functions of Mesothelial Cells in Pleural and Peritoneal Fluid
Fluid Balance: These cells help control the amount of fluid in the pleural space or abdomen to keep it at the right level.
Inflammation Response: They can help control inflammation. This is important for healing.
Lubrication: Mesothelial cells produce a slippery fluid that helps the lungs move smoothly against the chest wall as you breathe.
Protection: They form a protective layer around the lungs or abdominal organs, acting as a barrier against infection, damage and injury.
It’s normal to have some mesothelial cells in pleural and peritoneal fluid, but a large increase in these cells can sometimes be a sign of a problem. For example, a very high number of mesothelial cells might suggest inflammation. It could even be a sign of cancers like pleural or peritoneal mesothelioma.
Doctors look at the number and appearance of these cells, along with other tests, to figure out what’s going on. An excessive amount is more than what’s typically found in a healthy person, but the exact number can vary.
Malignant Mesothelial Cell Symptoms
Symptoms may include chest or abdominal pain and coughing. This cancer most often affects the lining of the lungs or abdomen. Mesothelioma symptoms can vary depending on where the cancer develops. It’s important to see a doctor if you have any concerning symptoms.
Symptoms Associated With Malignant Mesothelial Cells
Abdominal pain
Chest pain
Cough
Fatigue
Fever
Fluid buildup
Loss of appetite
Night sweats
Shortness of breath
Weight loss
Other illnesses can also cause these symptoms. If you have a history of asbestos exposure, it’s important to talk to your doctor about any symptoms you’re experiencing. Early diagnosis is important for mesothelioma. It can help improve your treatment outcomes.
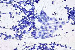
How Are Malignant Mesothelial Cells Diagnosed?
Microscopic view of peritoneal mesothelial cells
One of the most important diagnostic tests is a biopsy. A biopsy involves taking a small sample of tissue. Diagnosing malignant mesothelial cells can be tricky. Doctors use a combination of tests to figure out what’s going on.
For a mesothelioma biopsy, doctors might use a needle to take a sample of fluid or tissue from around the lungs or abdomen. Sometimes, they need to do a more involved procedure to get a good enough sample. This might involve minor surgery. The tissue sample is then sent to a lab.
At the lab, specially trained doctors called pathologists look at the cells under a microscope. They’re searching for specific changes that would indicate malignant mesothelial cells. This is how mesothelioma is diagnosed. These changes can be difficult to spot, so it’s important that the pathologist is experienced in diagnosing mesothelioma.
How Are Malignant Mesothelial Cells Treated?
Malignant mesothelial cells are commonly treated with chemo and other anti-cancer therapies. They’re a sign of serious disease, most often mesothelioma. Treating these cells means treating the underlying disease.
Because mesothelioma is a cancer, treatment focuses on getting rid of the cancerous cells and preventing them from spreading. Mesothelioma treatment can be complex and depends on several factors.
Most Common Treatments for Malignant Mesothelial Cells
Chemotherapy
Immunotherapy
Radiation therapy
Surgery
Mesothelioma treatment often involves a combination of these approaches. Doctors will work with patients to create a treatment plan that’s right for them.
It’s important for mesothelioma patients to talk to their doctors about all their treatment options and any concerns they may have. Clinical trials are also an option for some patients, offering access to newer treatments.
Common Questions About Mesothelial Cells
What are early warning signs of malignant mesothelial cells?
Early warning signs of malignant mesothelial cells can be vague. They might include chest pain, shortness of breath or abdominal swelling.
Sometimes, there are no noticeable symptoms at all in the early stages. Because mesothelioma is often linked to asbestos exposure, anyone with that history should be aware of any unusual symptoms.
Can malignant mesothelial cells spread to other organs?
Yes, malignant mesothelial cells can spread to other organs. This process is called metastasis. Mesothelioma can spread to nearby tissues and lymph nodes.
In later stages, it can spread to distant organs. Distant spreading makes the disease harder to treat.
Can mesothelial cells repair themselves after damage?
Mesothelial cells have some ability to repair themselves after minor damage. If the damage is severe or ongoing, like from asbestos exposure, the cells can become abnormal and eventually cancerous. This is why mesothelioma is a serious and life-threatening disease.
Recommended Reading
Address
1 S. Orange Ave., Suite 301, Orlando, FL 32801
Connect with us
Navigation
Monthly Newsletter
Stay up-to-date on treatment, research, clinical trials, doctors and survivors
The information on this website is proprietary and protected. It is not a substitute for professional medical advice, diagnosis or treatment. Any unauthorized or illegal use, copying or dissemination will be prosecuted. Please read our privacy policy and terms of service for more information about our website.
This website and its content may be deemed attorney advertising. Prior results do not predict a similar outcome.
The Mesothelioma Center’s claim as the most trusted resource is based on our more than 150 5-star Google and BBB reviews. Our organization also helps more than half of all mesothelioma patients annually diagnosed.
Your web browser is no longer supported by Microsoft. Update your browser for more security, speed and compatibility.
If you are looking for mesothelioma support, please contact our Patient Advocates at (855) 404-4592
Fact Checked
Our fact-checking process begins with a thorough review of all sources to ensure they are high quality. Then we cross-check the facts with original medical or scientific reports published by those sources, or we validate the facts with reputable news organizations, medical and scientific experts and other health experts. Each page includes all sources for full transparency.
Reviewed
Asbestos.com is the nation’s most trusted mesothelioma resource
The Mesothelioma Center at Asbestos.com has provided patients and their loved ones the most updated and reliable information on mesothelioma and asbestos exposure since 2006.
Our team of Patient Advocates includes a medical doctor, a registered nurse, health services administrators, veterans, VA-accredited Claims Agents, an oncology patient navigator and hospice care expert. Their combined expertise means we help any mesothelioma patient or loved one through every step of their cancer journey.
More than 30 contributors, including mesothelioma doctors, survivors, health care professionals and other experts, have peer-reviewed our website and written unique research-driven articles to ensure you get the highest-quality medical and health information.
About The Mesothelioma Center at Asbestos.com
Assisting mesothelioma patients and their loved ones since 2006.
Helps more than 50% of mesothelioma patients diagnosed annually in the U.S.
A+ rating from the Better Business Bureau.
5-star reviewed mesothelioma and support organization.
My family has only the highest compliment for the assistance and support that we received from The Mesothelioma Center. This is a staff of compassionate and knowledgeable individuals who respect what your family is experiencing and who go the extra mile to make an unfortunate diagnosis less stressful. Information and assistance were provided by The Mesothelioma Center at no cost to our family.
Selby, K. (2025, November 5). Mesothelial Cells. Asbestos.com. Retrieved December 18, 2025, from https://www.asbestos.com/mesothelioma/cells/mesothelial/
MLA
Selby, Karen. "Mesothelial Cells." Asbestos.com, 5 Nov 2025, https://www.asbestos.com/mesothelioma/cells/mesothelial/.
Chicago
Selby, Karen. "Mesothelial Cells." Asbestos.com. Last modified November 5, 2025. https://www.asbestos.com/mesothelioma/cells/mesothelial/.
Dr. Velotta is a leading thoracic surgeon and pleural mesothelioma specialist at Kaiser Permanente Oakland Medical Center and a Clinical Assistant Surgical Professor at the University of California, San Francisco School of Medicine. With more than 15 years of experience, he leads research efforts in minimally invasive lung cancer surgery, pain management post-thoracic surgery and multimodal mesothelioma treatment. He is recognized for advancing image-guided surgical techniques and improving regional access to specialized mesothelioma care.
Fact-checked and verified content:
Our fact-checking process begins with a thorough review of all sources to ensure they are high quality. Then we cross-check the facts with original medical or scientific reports published by those sources, or we validate the facts with reputable news organizations, medical and scientific experts and other health experts. Each page includes all sources for full transparency.
Please read our editorial guidelines to learn more about our content creation and review process.