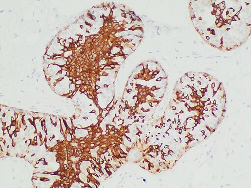
When found in high quantities in tissue samples, cytokeratin 5 and 5/6 proteins can act as markers that help pathologists detect cancers like mesothelioma. Testing for these markers can help people exposed to asbestos get an earlier and more accurate mesothelioma diagnosis.
Cytokeratin 5 and 5/6 are proteins normally found in your body. They help build and support certain cells, including those that line your lungs. Finding unusually high levels of these proteins in tissue samples, however, can be a sign of diseases like cancer.
It’s more common to find these high levels with some kinds of cancer – like mesothelioma – than with other types. This makes cytokeratin 5 and 5/6 helpful indicators or biomarkers for mesothelioma. This can help pathologists tell the difference between mesothelioma and similar cancers.
For example, adenocarcinoma has similar symptoms as pleural mesothelioma. Adenocarcinoma starts in the glands and can spread to the lungs. Despite some similarities between these cancers, elevated cytokeratin 5 and 5/6 isn’t common with adenocarcinoma. Finding these markers can help rule adenocarcinoma out. And it could indicate the patient has mesothelioma.
Learn about your diagnosis, top doctors and how to pay for treatment in our free mesothelioma guide.
How Are Cytokeratin 5 and 5/6 Used to Diagnose Mesothelioma?
Cytokeratin markers are part of a multi-step process to diagnose mesothelioma. Tissue samples are collected and stained with antibodies, which can reveal different key proteins (or immunohistochemical markers).
A 2022 study in the medical journal Medicina showed cytokeratin was among the most helpful biomarkers for diagnosis. Presence of cytokeratin 5 and 5/6 is a hallmark of mesothelioma. Research indicates it offers up to 90% accuracy in identifying epithelioid mesothelioma cases.
Diagnostic Process Using Cytokeratin
Tissue biopsy: A small tissue sample is collected, often from the lining of the chest (pleura) or abdomen (peritoneum).
IHC testing: Pathologists apply antibodies to the tissue sample to detect cytokeratin 5 and 5/6 proteins.
Marker analysis: Confirming the presence of cytokeratin 5 and 5/6 can help distinguish mesothelioma from other cancers.
Additional markers: Looking for the presence of other markers as well, such as calretinin or WT1, increases diagnostic accuracy.
Finding cytokeratin 5 and 5/6 isn’t enough on its own to confirm a mesothelioma diagnosis, though. Pathologists also look for other markers as well like calretinin or WT1. Finding all of these markers together can help better distinguish between different types of cancer.
This precise approach helps avoid misdiagnosis. This type of cancer is aggressive, so early and accurate identification is important. A confirmed diagnosis as soon as possible allows people to begin treatment earlier.
The Importance of Cytokeratin in Early Mesothelioma Diagnosis
Using cytokeratin 5 and 5/6 in the diagnostic process helps ensure an accurate diagnosis. A misdiagnosis can lead to initially being given incorrect or unnecessary treatments. An accurate diagnosis can help people receive prompt care tailored to their needs.
Confirming mesothelioma early is vital for high risk patients, such as those with known asbestos exposure. Beginning treatment before the cancer spreads offers a better chance of controlling it.
Early-stage mesothelioma responds better to treatment. People also have more options at earlier stages of mesothelioma, such as joining clinical trials for innovative therapies.
Request Your Free Mesothelioma Guide
Learn about your diagnosis, top doctors and how to pay for treatment in our updated 2025 guide.
Limitations of Cytokeratin 5 & 5/6 Testing for Mesothelioma
While cytokeratin testing is highly effective, there are challenges. In rare cases, there are overlapping markers. This means mesothelioma isn’t the only cancer where cytokeratin 5 and 5/6 is present.
Pathologists have to use additional or complementary tests to confirm mesothelioma. They’ll often combine cytokeratin 5 and 5/6 testing with looking for markers like calretinin, mesothelin and podoplanin for a more comprehensive diagnostic profile.
Cytokeratin 5 and 5/6 Limitations
Overlap: Cytokeratin 5 and 5/6 may appear in some non-mesothelial tumors, making complementary testing essential.
Mesothelioma subtypes: It’s less reliable for sarcomatoid mesothelioma, which often lacks this marker.
Cytokeratin 5 and 5/6 is highly effective for the epithelioid subtype. However, it’s less helpful in accurately identifying the sarcomatoid subtype. This subtype often lacks this marker.
Emerging technologies, such as genetic testing and advanced imaging, are increasingly being used alongside cytokeratin 5 and 5/6 to overcome its limitations. This multidisciplinary approach ensures patients receive the most accurate and comprehensive diagnosis.
Mesothelioma Research Studies Involving Cytokeratin 5/6
Research continues to explore the role of cytokeratin markers in mesothelioma diagnosis and treatment. Recent studies highlight their reliability in identifying mesothelioma and their potential to enhance diagnostic precision.
Recent Cytokeratin Findings
Combinational testing: Combining cytokeratin 5 and 5/6 with other markers increases diagnostic accuracy up to 15%.
Diagnostic accuracy: Studies confirm the sensitivity of cytokeratin 5 and 5/6 for pleural mesothelioma, particularly in epithelioid subtypes.
Research is also exploring whether this marker can predict treatment responses. Studies indicate that combining cytokeratin 5 and 5/6 with other markers might help oncologists determine how well a patient will respond to specific therapies, paving the way for more personalized mesothelioma care.
Common Questions About Cytokeratin 5 & 5/6
Why Is Cytokeratin Testing Important for Asbestos-Related Cancers?
Cytokeratin testing is crucial because it identifies mesothelioma, a cancer strongly linked to asbestos exposure. Cytokeratin 5 and 5/6 helps confirm mesothelioma’s origin, enabling accurate diagnosis and effective treatment planning.
Can Cytokeratins Confirm All Types of Mesothelioma?
Cytokeratin 5 and 5/6 is most effective for diagnosing epithelioid mesothelioma but is less reliable for sarcomatoid and biphasic subtypes. Complementary tests improve accuracy for these cases.
Can Cytokeratin Markers Identify the Stage of Mesothelioma?
While cytokeratin 5 and 5/6 confirms mesothelioma’s presence, it doesn’t determine the cancer’s stage. Imaging tests and biopsies are needed to assess tumor spread and progression.
What Does Positive CK5/6 Mean?
CK5/6 is an abbreviation for cytokeratin 5/6A. A positive CK5/6 result indicates mesothelial cell origin, confirming mesothelioma in most cases. This finding helps pathologists differentiate mesothelioma from other cancers.
Recommended Reading
Address
1 S. Orange Ave., Suite 301, Orlando, FL 32801
Connect with us
Navigation
Monthly Newsletter
Stay up-to-date on treatment, research, clinical trials, doctors and survivors
The information on this website is proprietary and protected. It is not a substitute for professional medical advice, diagnosis or treatment. Any unauthorized or illegal use, copying or dissemination will be prosecuted. Please read our privacy policy and terms of service for more information about our website.
This website and its content may be deemed attorney advertising. Prior results do not predict a similar outcome.
The Mesothelioma Center’s claim as the most trusted resource is based on our more than 150 5-star Google and BBB reviews. Our organization also helps more than half of all mesothelioma patients annually diagnosed.
Your web browser is no longer supported by Microsoft. Update your browser for more security, speed and compatibility.
If you are looking for mesothelioma support, please contact our Patient Advocates at (855) 404-4592
Fact Checked
Our fact-checking process begins with a thorough review of all sources to ensure they are high quality. Then we cross-check the facts with original medical or scientific reports published by those sources, or we validate the facts with reputable news organizations, medical and scientific experts and other health experts. Each page includes all sources for full transparency.
Reviewed
Asbestos.com is the nation’s most trusted mesothelioma resource
The Mesothelioma Center at Asbestos.com has provided patients and their loved ones the most updated and reliable information on mesothelioma and asbestos exposure since 2006.
Our team of Patient Advocates includes a medical doctor, a registered nurse, health services administrators, veterans, VA-accredited Claims Agents, an oncology patient navigator and hospice care expert. Their combined expertise means we help any mesothelioma patient or loved one through every step of their cancer journey.
More than 30 contributors, including mesothelioma doctors, survivors, health care professionals and other experts, have peer-reviewed our website and written unique research-driven articles to ensure you get the highest-quality medical and health information.
About The Mesothelioma Center at Asbestos.com
Assisting mesothelioma patients and their loved ones since 2006.
Helps more than 50% of mesothelioma patients diagnosed annually in the U.S.
A+ rating from the Better Business Bureau.
5-star reviewed mesothelioma and support organization.
My family has only the highest compliment for the assistance and support that we received from The Mesothelioma Center. This is a staff of compassionate and knowledgeable individuals who respect what your family is experiencing and who go the extra mile to make an unfortunate diagnosis less stressful. Information and assistance were provided by The Mesothelioma Center at no cost to our family.
Selby, K. (2025, July 31). Cytokeratin 5 & 5/6 and Mesothelioma. Asbestos.com. Retrieved December 18, 2025, from https://www.asbestos.com/mesothelioma/diagnosis/immunohistochemical-markers/cytokeratin/
Selby, Karen. "Cytokeratin 5 & 5/6 and Mesothelioma." Asbestos.com. Last modified July 31, 2025. https://www.asbestos.com/mesothelioma/diagnosis/immunohistochemical-markers/cytokeratin/.
Dr. Velotta is a leading thoracic surgeon and pleural mesothelioma specialist at Kaiser Permanente Oakland Medical Center and a Clinical Assistant Surgical Professor at the University of California, San Francisco School of Medicine. With more than 15 years of experience, he leads research efforts in minimally invasive lung cancer surgery, pain management post-thoracic surgery and multimodal mesothelioma treatment. He is recognized for advancing image-guided surgical techniques and improving regional access to specialized mesothelioma care.
Fact-checked and verified content:
Our fact-checking process begins with a thorough review of all sources to ensure they are high quality. Then we cross-check the facts with original medical or scientific reports published by those sources, or we validate the facts with reputable news organizations, medical and scientific experts and other health experts. Each page includes all sources for full transparency.
Please read our editorial guidelines to learn more about our content creation and review process.