Dr. Andrea Wolf is the Director of the New York Mesothelioma Program at Mount Sinai in New York City. She focuses on multidisciplinary treatment, clinical research, community outreach and education.
Cystic mesothelioma is a rare benign or noncancerous disease. It’s also known as benign multicystic peritoneal mesothelioma. It forms in the belly’s lining, mostly in young women. Doctors have recorded about 200 cases worldwide as of late 2024.
Cystic mesothelioma is a condition that causes benign, or noncancerous, tumors to grow in the lining of the abdomen. Also known as benign multicystic peritoneal mesothelioma, recurrence of these tumors is common. Because of BMPM’s potential for recurrence, experts debate if it should be classified as a “borderline tumor.” But it isn’t considered a malignant, or cancerous, subtype of mesothelioma.
Key Facts About Cystic Mesothelioma
Learn about your diagnosis, top doctors and how to pay for treatment in our free mesothelioma guide.
Get Your GuideWomen under 50 are more likely to develop cystic mesothelioma than other groups more likely to develop malignant mesothelioma. This condition is very rare, with only 200 cases recorded globally as of late 2024.
A December 2024 case study described a 26-year-old woman who had abdominal pain. CT scans showed a lesion near her colon. The lesion was surgically removed and biopsied. Doctors diagnosed it as multicystic peritoneal mesothelioma.
Symptoms of cystic mesothelioma include abdominal pain, bloating and fluid buildup (ascites). The condition can mimic other abdominal issues, making early detection challenging. Many cases are only found during surgery for unrelated conditions.
Common Symptoms
A 2025 research study shows people have different experiences with symptoms. Some patients also report experiencing fatigue, nausea and unexplained weight changes. Some people experience severe discomfort. Others may have no noticeable mesothelioma symptoms. Because symptoms vary from patient to patient, it’s essential that at-risk people have routine medical check-ups.
Most cases of cystic mesothelioma are noncancerous. A cancerous condition is rare. But because it’s possible, continued monitoring is often necessary. Some medical professionals argue BMPM shares characteristics with tumors that aren’t considered fully cancerous but have the potential to become cancerous if left untreated.
Other Names for Cystic Mesothelioma
The recurrence rate for cystic mesothelioma can be as high as 50%, according to a 2024 ScienceDirect study. Standard treatment is surgical removal, with follow-up care to monitor for recurrence.
We coordinate your care with top cancer centers and guide you through every step.
Get Help NowThe exact cause of cystic mesothelioma is unknown. There is no proven genetic link. While the cause is unclear, hormonal factors and chronic inflammation may be risk factors. One study from the International Journal of Gynecological Pathology concludes that changes from endometriosis are a direct cause of BMPM.
Possible Risk Factors
Unlike other mesothelioma types, asbestos exposure isn’t a confirmed cause. BMPM’s risk factors suggest cystic mesothelioma may develop under unique biological conditions, differing from asbestos-related peritoneal mesothelioma.
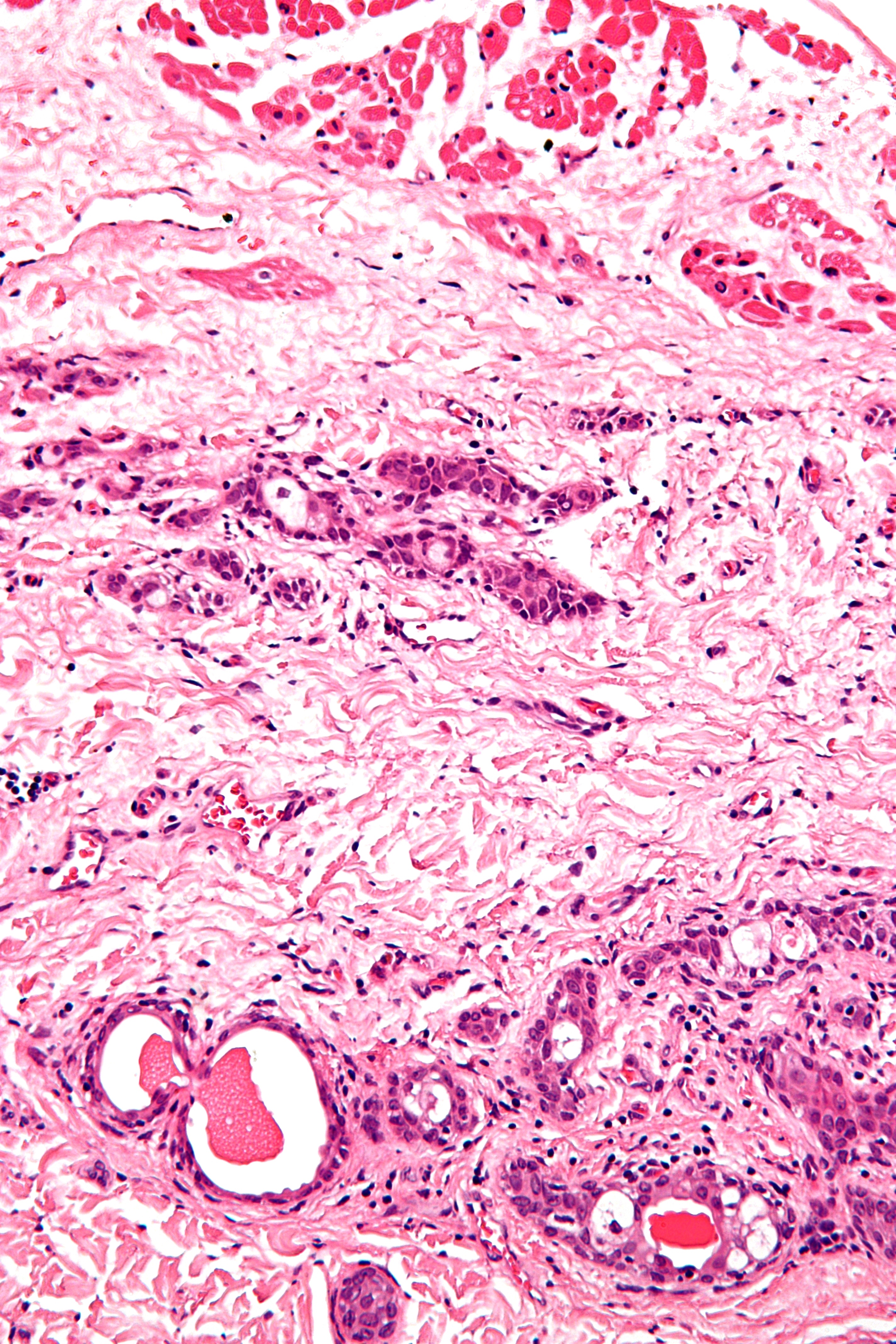
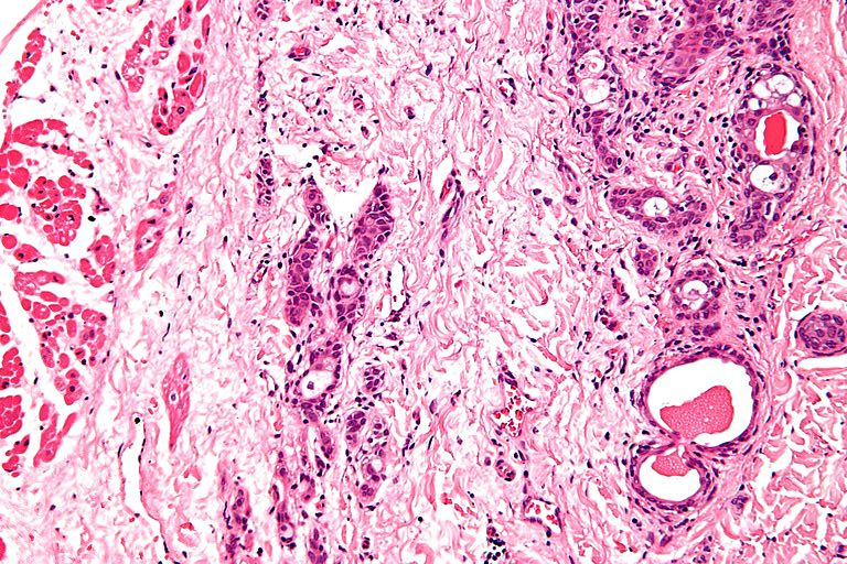
Doctors diagnose cystic mesothelioma using imaging tests and biopsies. Imaging techniques, such as CT scans and MRIs, are commonly used to locate cystic growths before confirming the diagnosis with a biopsy.
A biopsy is a minor surgical procedure that uses a thin tube fitted with a light and camera. Doctors identify abnormal growths and collect tissue samples through a small abdominal incision. The samples are sent to the lab, where a pathologist confirms the BMPM diagnosis.
Similar to the challenges with a mesothelioma diagnosis, misdiagnosis is common. These diagnostic tools help doctors distinguish cystic mesothelioma from other peritoneal disorders.
Malignant mesothelioma usually forms calcified plaques or nodules, while cystic mesothelioma forms liquid-filled cysts. Malignant mesothelioma cells also display increased activity, which doctors detect with special lab tests using stains (immunohistochemical staining).
Surgery is the primary treatment for cystic mesothelioma. In some cases, doctors use heated intraperitoneal chemotherapy, or HIPEC, to reduce recurrence risks. Early intervention often improves outcomes and limits complications.
Because BMPM slowly grows and doesn’t spread, its prognosis is much better than malignant mesothelioma. About 50% of all patients will experience a recurrence. After diagnosis, patients must have routine follow-up imaging.
Treatments for Cystic Mesothelioma
A 2024 case study described a 43-year-old woman who had a constant dull ache throughout her lower abdomen. After an ultrasound revealed an abnormal mass, a biopsy confirmed her diagnosis. She was treated with tumor-removing surgery and then HIPEC.
She recovered well without complications. At her 1-year follow-up, she had no symptoms. A CT scan showed the mass was gone, and there were no signs of swollen lymph nodes.
An incidence of benign cystic mesothelioma turning cancerous is extremely rare, but recurrence is common. Few cases of cystic mesothelioma have shown characteristics of malignancy, which is why long-term monitoring is essential. Regular check-ups, imaging scans and consultations with a mesothelioma specialist can help detect any changes early.
Multicystic mesothelioma is noncancerous. Malignant mesothelioma is aggressive and linked to asbestos. Multicystic mesothelioma tends to grow more slowly and doesn’t spread in the same invasive manner. Their treatments and prognosis also differ significantly, with benign forms having a better long-term outlook.
No genetic link has been established. However, some familial patterns have been observed in rare cases. Research is ongoing.
Recurrence rates are high. Many people have multiple surgeries over time, as cystic mesothelioma can regrow. While HIPEC therapy may help reduce recurrence risks, consistent monitoring and follow-up appointments are critical for managing the disease effectively.
Stay up-to-date on treatment, research, clinical trials, doctors and survivors
The information on this website is proprietary and protected. It is not a substitute for professional medical advice, diagnosis or treatment. Any unauthorized or illegal use, copying or dissemination will be prosecuted. Please read our privacy policy and terms of service for more information about our website.
This website and its content may be deemed attorney advertising. Prior results do not predict a similar outcome.
The Mesothelioma Center’s claim as the most trusted resource is based on our more than 150 5-star Google and BBB reviews. Our organization also helps more than half of all mesothelioma patients annually diagnosed.
Your web browser is no longer supported by Microsoft. Update your browser for more security, speed and compatibility.
If you are looking for mesothelioma support, please contact our Patient Advocates at (855) 404-4592
The Mesothelioma Center at Asbestos.com has provided patients and their loved ones the most updated and reliable information on mesothelioma and asbestos exposure since 2006.
Our team of Patient Advocates includes a medical doctor, a registered nurse, health services administrators, veterans, VA-accredited Claims Agents, an oncology patient navigator and hospice care expert. Their combined expertise means we help any mesothelioma patient or loved one through every step of their cancer journey.
More than 30 contributors, including mesothelioma doctors, survivors, health care professionals and other experts, have peer-reviewed our website and written unique research-driven articles to ensure you get the highest-quality medical and health information.
My family has only the highest compliment for the assistance and support that we received from The Mesothelioma Center. This is a staff of compassionate and knowledgeable individuals who respect what your family is experiencing and who go the extra mile to make an unfortunate diagnosis less stressful. Information and assistance were provided by The Mesothelioma Center at no cost to our family.LashawnMesothelioma patient’s daughter
Selby, K. (2025, July 31). Cystic Mesothelioma. Asbestos.com. Retrieved December 18, 2025, from https://www.asbestos.com/mesothelioma/cystic/
Selby, Karen. "Cystic Mesothelioma." Asbestos.com, 31 Jul 2025, https://www.asbestos.com/mesothelioma/cystic/.
Selby, Karen. "Cystic Mesothelioma." Asbestos.com. Last modified July 31, 2025. https://www.asbestos.com/mesothelioma/cystic/.
Dr. Andrea Wolf is the Director of the New York Mesothelioma Program at Mount Sinai in New York City. She focuses on multidisciplinary treatment, clinical research, community outreach and education.
Our fact-checking process begins with a thorough review of all sources to ensure they are high quality. Then we cross-check the facts with original medical or scientific reports published by those sources, or we validate the facts with reputable news organizations, medical and scientific experts and other health experts. Each page includes all sources for full transparency.
Please read our editorial guidelines to learn more about our content creation and review process.